Transform yourself using Kris Gethin’s Body By Design workout plan!
Ask anyone who has transformed his/her body, for this keyword . let you know that it can be one of the most empowering things they have ever done! If...
3 good reasons the reason you are cannot dictate your cravings
Craving is the fact that powerful desire that overtakes your senses with all the urge to right away acquire what you wish. As humans, we are liable to cravings...
Watch: 17-Year-Old American Vincent Zhou Lands First Quad Lutz in Olympic History
What an Olympics it has been for 17-year-old American athletes.? Snowboarders Chloe Kim and Red Gerard took home gold in their events the 2009 week. Now, teen figure...
Three simple steps to glowing winter skin
Winter may be connected with dry, dull skin however, some simple adjustments while some select natual skin care products can make sure you have...
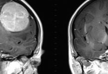
Mitochondrial 'smart bomb' could treat brain tumors
Researchers from Houston Methodist Hospital allow us a so-called mitochondrial smart bomb that can be used to deal with brain tumors by attacking the cell's power source, according to...
Think you’re really burning a lot of calories on the treadmill?
I have always wondered how treadmills calculate the level of calories we burn. Is he accurate? Do folks burn different amount of calories when exercising? ?
According to strength coach...





































